Ved at kigge på et hjerte med en ultralydskanner har danske forskere fundet ud af, at man med stor sikkerhed kan identificere de patienter, der har et alvorligt sygdomsforløb foran sig. Det er en enorm fordel for hospitalerne, og betyder i sidste ende, at man kan optimere det enkelte behandlingsforløb, fortæller forskeren bag undersøgelsen.

Ny dansk forskning afslører, om patienten ender i respirator

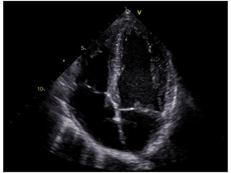
Et hjerte vendt på hovedet på skærmen fra en ultralydskanning. Man kan se de fire hjertekamre, der er opdelt af de hvide vægge, mens det sorte viser blodet, der fyldes op i hjertekamrene. Fra billeder som dette kan hjertelæger forudsige, om patienten får et mildt eller et alvorligt sygdomsforløb.
Et hjerte vendt på hovedet på skærmen fra en ultralydskanning. Man kan se de fire hjertekamre, der er opdelt af de hvide vægge, mens det sorte viser blodet, der fyldes op i hjertekamrene. Fra billeder som dette kan hjertelæger forudsige, om patienten får et mildt eller et alvorligt sygdomsforløb.
Lyt til artiklen

Nogen påstår, at de kan aflæse din fremtid i dine håndflader. Forskere kan nu, på videnskabelig baggrund, aflæse en covid-19 patients forløb i et ultralydsbillede af patientens hjerte.

Det konkluderer dugfrisk dansk forskning, der kan implementeres på danske hospitaler allerede nu.

Læs videre for 1 kr.

Du er godt i gang – få adgang til hele artiklen, alt på politiken.dk og dagens e-avis i en måned for kun 1 kr. Ingen binding.

Bliv abonnent nu
Allerede abonnent? Log ind
Stopskilt_glad

© Alt materiale på denne side er omfattet af gældende lov om ophavsret. Læs om reglerne her